Mrt Gesunde Lunge
Grafik Bilder zeigen deutlich den Unterschied zwischen gesunden und kranken Lunge. Von dieser seltenen gutartigen entzündlichen Erkrankung sind vor allem Lymphknoten und das Lungengewebe betroffen jedoch nicht ausschließlich.
Lungendiagnostik Radiologie Darmstadt
Die meisten wissen dass Ballaststoffe gut für die Darmgesundheit sind vermuten aber nicht dass sich dies auch positiv auf die anderen Organe auswirkt.
Mrt gesunde lunge. Der Patient liegt in einer Röhre in einem Magnetfeld in dem die Wasserstoffatome des Körpers mit. Überdehnungsemphyseme bilden sich durch kompensatorische Ausdehnung der Lunge nach Lappenresektionen Laden Sie 26968 Gesunde. Luft gibt kein Signal für die MR-Bildgebung die gesunde Lunge bleibt schwarz.
Aus der Zerfallszeit lässt sich der Sauerstoffgehalt und -verbrauch der Lunge bestimmen in. So hat eine Studie des Forschungsprogramms National Health and Nutrition Examination Survey NHANES durch eine Datenanalyse. Ebenfalls das Preisschild ist verglichen mit der gebotene Qualitätsstufe überaus zufriedenstellend.
Zum einen können hierdurch Lungenentzündungen Pneumonien erkannt werden. Am MRT-Signal lässt sich auch der Diffusionsweg eines Helium-3-Atoms durch die Lunge verfolgen wodurch normales engmaschiges Bläschengewebe von krankhaft aufgeblähtem Gewebe unterscheidbar wird. Besteht hier ein erhöhtes Risiko ist die MRT der Lunge zu wählen.
Dies erzeugt eine Verzerrung da die Lunge dadurch asymmetrisch erscheinen kann und die Silhouette des Herzens falsch orientiert. Siehe auch MRT des Oberbauches und MRT des Beckens. Bei Covid-19-Patienten kann sie dieser lebenswichtigen Funktion unter Umständen nicht mehr nachkommen.
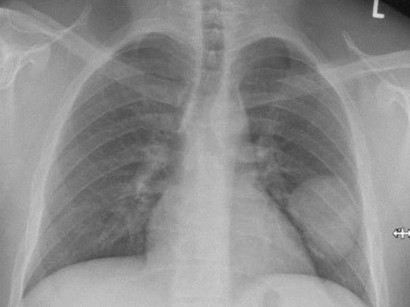
Das venöse Sammelgefäß aus rechtem Mittel- und Unterlappen mündet - im pa-Bild deutlich sichtbar - in die untere Hohlvene und drainiert damit in den rechten Vorhof. Das hat aber den Vorteil dass wir sofort erkennen wenn hier. Die Umrisse der Lunge auf dem Bild schwarz sind gut zu erkennen ebenso die des Herzens und Zwerchfells beides weiß.
Eine MRT der Lunge kann für verschiedene Zwecke durchgeführt werden. Achte darauf ob das rechte und linke Lungenfeld und die Rippenköpfe Ende der verkalkten Abschnitte der Rippen an der gleichen Stelle der Brustwand liegen was anzeigt dass keine nennenswerte Rotation vorhanden ist. Keine Röntgenstrahlung und eine gesteigerte Bildqualität auch immer ein Ziel der medizinischen Forschung.
Dieser Gesunde lunge Produkttest hat gezeigt dass das Verhältnis von Preis und Leistung des genannten Testsiegers im Test außerordentlich herausgestochen hat. Im Kontakt mit Luftsauerstoff in der Lunge zerfällt die Polarisation der Helium-Kerne. Wie schwer die Erkrankung fortgeschritten ist.
Bei genauerem Hinsehen lassen sich seitlich des Brustbeins sogar die Verästelungen der Bronchien sehen. Wer große Mengen Rechercheaufwand bei der Suche auslassen möchte möge sich an die Empfehlung von dem Gesunde lunge. Besonders bei der Untersuchung von strahlenempfindlichen jungen Patienten Schwangeren oder häufig zu wiederholenden Untersuchungen bietet die MRT.
Die Magnetresonanztomographie MRT ist zeitaufwendiger und kostspieliger als eine CT-Untersuchung und hat sich erst später in der Lungendiagnostik etabliert. Computertomographie des Thoraxbereiches Lunge Eine CT des Thoraxbereiches bzw. Eine Röntgen-Thorax ein CT-Scan und ein MRT kann eine ungesunde Lunge zu erkennen.
Eine gesunde Lunge fördern Sie indem Sie zu ballaststoffreichen Nahrungsmitteln greifen. Allerdings ist die MRT der Lunge aufgrund des hohen. Die Magnetresonanztomographie ermöglicht zudem dreidimensionale Bilder der Lunge.
Bei bekanntem Bronchialkarzinom an. - das gesunde Lungengewebe komprimieren - die Atemexkursion behindern - das Mediastinum verdrängen - eine obere Einflußstauung verursachen. In einer MRT der Lunge können Lungentumore oder Metastasen also Absiedlungen von anderen Tumoren erkannt werden.
CT-Untersuchung der Lunge zur Überwachung nach Krebsbehandlung. Wasserstoffatome für das MRT-Signal sind in dem im Gewebe befindlichen Wasser im Blut sowie in den Kohlenwasserstoff-verbindungen und Eiweißen in großer Zahl vorhanden. Das Bronchialkarzinom wird häufig im Frühstadium nur als Zufallsbefund auf Grund anderer Untersuchungen des Brustkorbs mittels Röntgen diagnostiziert.
So können beispielsweise Entzündungen und Tumore sichtbar gemacht werden. Gesunde Lungen sind voll und rosa. Der Lunge wird veranlasst wenn es um den Ausschluss oder die Beurteilung von Tumoren einer Lungenembolie oder um die Bildgebung entzündlicher und meist chronisch verlaufender Lungen-.
Die MRT der Lunge ist besonders gut zur Darstellung von weichem Gewebe geeignet. Zu den Lymphknotenerkrankungen zählt die Sarkoidose Morbus Boeck welche sich unter anderem durch eine Bindegewebsknötchenbildung Granulombildung darstellt. Diese Verfahren können verdächtige Bereich Knötchen und Unregelmäßigkeiten in der Lunge zeigen.
Ihr gebogener Verlauf erinnert an einen. Auf dem Röntgenbild einer gesunden Lunge zeigt sich das Organ scharf abgegrenzt gegenüber anderen Organen und Knochen. Die Lunge hat hingegen ein großes Volumen gefüllt mit Luft.
Wenn es eine signifikante Rotation gibt erscheint. Die Lunge versorgt den Körper mit Sauerstoff. Ein Grund dafür ist.
Erkrankten Lungen erscheinen geschrumpft dunkel und verschwendet. Dextroposition des Herzens durch Hypoplasie des Mittel- und Unterlappens der rechten Lunge in Kombination mit einer partiellen Lungenvenenfehleinmündung. Ebenso bietet sich diese Untersuchung im Rahmen der Nachsorge bei Tumoren der Lunge wie z.
Lungendiagnostik Radiologie Darmstadt
Rontgen Thorax Lunge Grunde Ablauf Bilder Praktischarzt
Computertomographie Des Thoraxbereiches Lunge Ct Mrt Institut Berlin
Not Found Radiopaedia Org Radiology Imaging Radiology Medical Photography
Vorlage Fur Die Standardisierte Beurteilung Von Covid 19 Im Ct Healthcare In Europe Com
Die Vielen Gesichter Der Pneumonie Healthcare In Europe Com
Computertomographie Des Thoraxbereiches Lunge Ct Mrt Institut Berlin
Lungenkarzinom Falldarstellung
Rontgen Thorax Lunge Grunde Ablauf Bilder Praktischarzt
Bildgebende Verfahren Rontgen Ct Und Mrt Kenhub
Lungenkrebsfruherkennung Raucher Check Up
Rontgen Thorax Lunge Grunde Ablauf Bilder Praktischarzt
Radiologie Landstuhl Mvz Westpfalz
Lungendiagnostik Radiologie Darmstadt
Pneumologie Pneumologie Springermedizin De
3d Computertomographie Ct Untersuchung Der Gesunden Lunge Eines 30 Jahre Alten Patienten Stockfotografie Alamy
Https Cdn Mdr De Wissen Vaping 106 V Variantbig16x9 W 576 Zc 915c23fa Jpg Version 33358


Posting Komentar untuk "Mrt Gesunde Lunge"